フコイダン 最後の抜歯|病気な話|ノフログ ~noof's weblog~ 忍者ブログ

日本の「バカ」が濃くなっていませんか?

[PR]

×

[PR]上記の広告は3ヶ月以上新規記事投稿のないブログに表示されています。新しい記事を書く事で広告が消えます。

最後の抜歯

2月末の土曜日。
右下の親知らず抜歯。
あれから1か月以上経過した。
他の抜歯したところも、埋まっていった。

しかし、1本だけ抜いていない歯があった。
左下の親知らず。

この歯だけ、歯の根っこが相当曲がっていた。
普段行っている歯科医では手に負えないということで、
市内の別の歯科医に行くこととなった。
紹介状を書いてもらい、その歯科医へ。

4月のあたまの事だった。


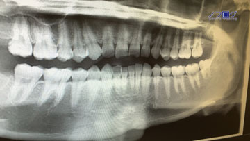
(以下、私の歯の全体のレントゲンが掲載されております。
抵抗のある方は、閲覧することを控えてください)







これまた、軽い感じの先生。
でも、設備が普段行く歯科医よりも、最新鋭の設備を入れてる。
レントゲンも360°全部撮られた。



そこで、改めて、抜歯方法についての説明を受ける。
今回は難易度が高い。
そのため、万が一のリスクもありうるという。
天国というか、極楽浄土というか、そっちへ行ってしまう危険性もありうるとのことで。

ということで、色々と手術に関する書類にサインをした。


そして、先週の土曜日。
ようやく、最後の親知らずの抜歯の日を迎えた。

別の病院での抜歯ということでどうなるのやら。
まず、通常の診察室で、毎度おなじみの麻酔。
麻酔ってこれで6回か。
最初が、小学校の頃の左手首骨折時。
その後、親知らずの抜歯4回に、アテローム取り出し。

運良く、麻酔注射をしたことがない方がいれば、
もしかしたら、何十回も麻酔注射をしたなんて人もいると思うが。

また、何年後かに麻酔注射はありえるかもしれない。
今度は、何らかの手術で・・・ってか?


麻酔が効いてきたところで、今度は手術室へ。
おそらく、今回の抜歯が別の歯科医になったのは、
手術室の有無があったのかもしれない。

そこで、アテロームの取り出しの時のように、
顔に布か何かがかけられて、
抜歯となった。
歯の根っこが曲がっているため、一発で抜くことは無理。
そこで、歯を半分に割り、抜いていった。

こうして、最後の親知らずの抜糸は成功。
現在、歯は28本。
あとは糸を抜いておしまい。

これで、少しは歯が磨きやすくなる・・・のか?



PR